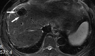
一、原发性肝癌是什么情况
原发性肝癌,又叫肝癌,是肝脏细胞或肝内胆管上皮细胞发现的恶性肿瘤。肝脏发现肿瘤,可以是肝脏本身产生的,也可以是其他部位转移而来的。如果比如胃癌转移到肝脏,叫胃癌肝转移。原发性肝癌在我们最常见的是慢性肝炎导致肝硬化,发展成原发性肝癌。

二、原发性肝癌晚期症状怎么治
原发性肝癌发展到了晚期的话会出现一些恶液质状态,比如患者的肚子会出现非常鼓的现象,并且伴随有腹胀的感觉,还会出现黄疸的现象,体质状况会越来越虚弱,这个时候的治疗主要是是保守治疗为主,还有进行化疗或者是介入治疗等综合治疗的措施。
本文来自投稿,不代表天德百科网立场,如若转载,请注明出处:http://code.hbjsyb.cn/ynte/d1237a8da51985401.html
支付宝扫一扫

评论列表
原发性肝癌是什么情况 原发性肝癌写的如何?
一、原发性肝癌是什么情况原发性肝癌,又叫肝癌,是肝脏细胞或肝内胆管上皮细胞发现的恶性肿瘤。肝脏发现肿瘤,可以是肝脏本身产生的,也可以是其他部位转移而来的。如果比如胃癌转移到肝脏,叫胃癌肝转移。原发性肝癌在我们最常见的是慢性肝炎导致肝硬化,发
推荐这篇文章:西安地铁19号线全线站点 西安地铁线路图
推荐这篇文章:最终幻想7重制版为什么还是很贵 最终幻想7pc重制版
推荐这篇文章:315消费者投诉都是什么范围 315主要查什么问题